
CHOC Pediatrica
Discover the latest advances in
pediatric medicine, research and innovation.
Search
Browse by topic
Research and Innovation

Pediatric & Lifespan Data Science Conference 2026 to address the challenges of AI in translational research while driving real-world social impact

From unanswered questions to transformative care: 2026 Rare Disease Symposium and Family Conference

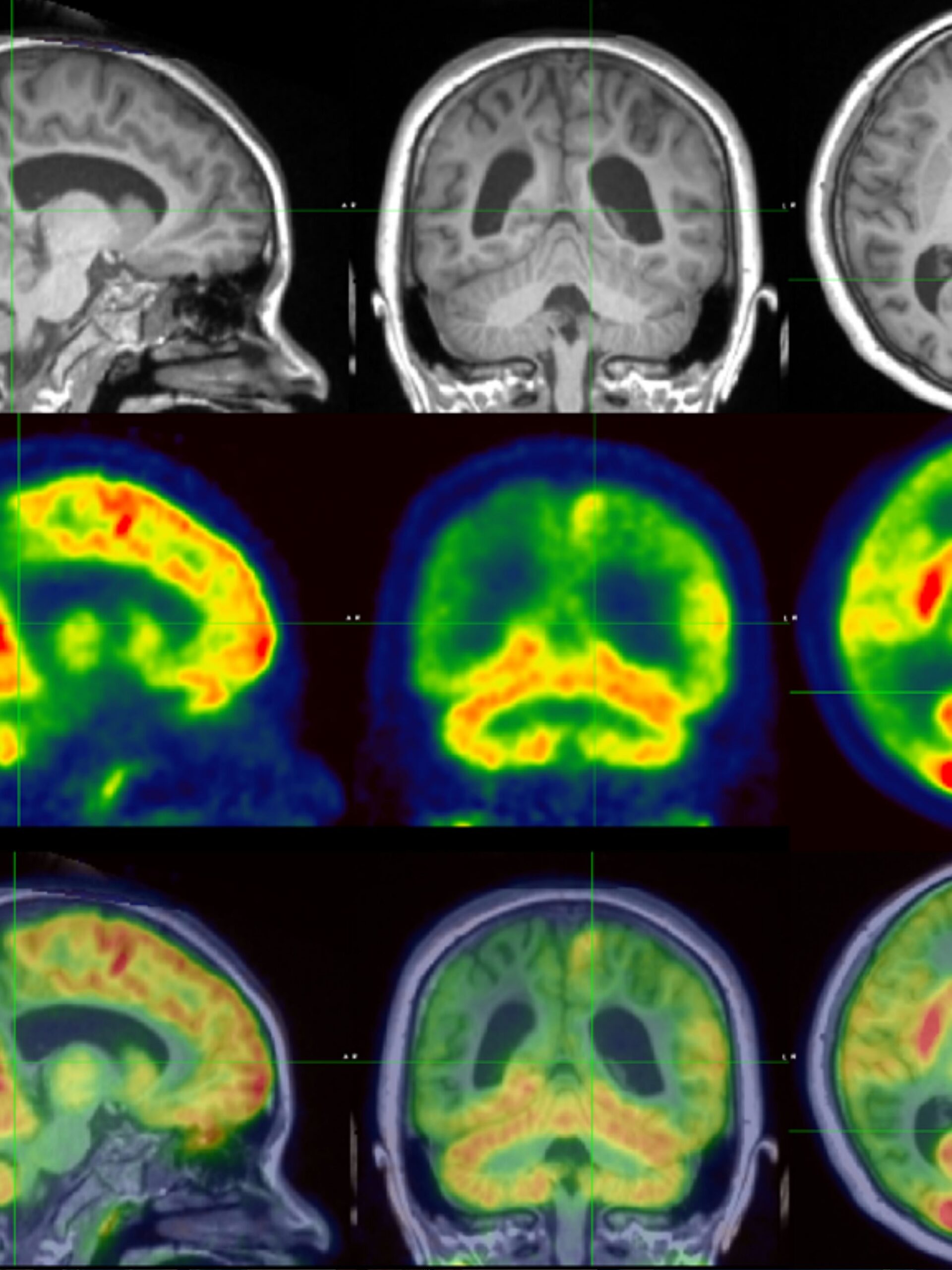
Research by Dr. Jennifer Gelinas earns recognition from the National Institute of Neurological Disorders and Stroke
Featured Articles
Discover what’s new in pediatric healthcare
Get updates on research, CME opportunities and more delivered right to your inbox through the Pediatrica newsletter.
CHOC Physican Events

An error has occurred, which probably means the feed is down. Try again later.













